عکس بازیگران عکس بازیگران 21

Testicular localization of  multiple myeloma: case report

 

             

Mbarek Doublali, Abdelhak Khallouk, Fadl Tazi, Mohammed Jamal El Fassi, Moulay Hassan Farih.

 

Department of Urology, University Hospital Center Hassan II, Fez –Morocco

 

Corresponding author: Mbarek Doublali, Service d’urologie,  CHU Hassan II Fès, Morocco. Tel : (+212) 661 555 340. Email: adamdoublali@yahoo.fr 

Afr J Haematol Oncol  2010;1(1):21-23 

 

SUMMARY

 

 

Testicular localisation of myeloma is exceptional. We report the case of a patient  managed for multiple myeloma for a period of 9 months. He then presented with testicular localisation of  his disease for which an inguinal orchidectomy was carried out. Despite the orchidectomy, disease progression was rapid  with severe bone pain and terminal kidney failure three months later. The diagnosis and the course of action are discussed in light of the current literature.

 

Key words: Multiple myeloma; testis; metastasis

 

 

INTRODUCTION

 

 

Patients with multiple myeloma generally come forward at an advanced stage of the disease with multiple osteolytic lesions as well as diffuse extramedullary lesions. The testis and epididymis are rarely involved , particularly as  solitary extramedullary sites. In almost all reported cases of multiple myeloma with testicular localisation, the patients had already had other disseminated lesions.

We report a rare case of multiple myeloma with testicular secondary localisation.

 

 

CASE REPORT

 

 

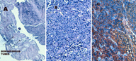
Mr J.M. aged 54 was hospitalised 9 months after diagnosis of multiple myeloma to receive VAD (Vincristine, Adriamycin and Dexamethasone) chemotherapy.  During his stay at the hospital, the patient  developed sharp testicular pain without trauma  or urinary symptoms . The left testis was swollen and tender on examination.   Ultrasonography examination showed a normal right testicle and a  left testicle which was increased in size with  heterogeneous hypoechogenic areas , the biggest of which measured 2 cm. These areas were  hypervascularized in Dopper mode. Alpha-foetoprotein, beta-hCG and lactate dehydrogenase (LDH)  were normal. The patient underwent a left inguinal orchidectomy. The anatomicopathological study showed  the presence of monoclonal plasma cells  confined to the left testicle (figure 1). Three months later, the patient did not present any other extramedullary localisations but the progress of the disease was rapid with increased bone pain and terminal kidney failure .

 

 

 

View a larger version

 

Figure 1. Plasma cell  proliferation involving testicular parenchyma (A). Plasmocytoid cells (B). Tumor cells intensively marked by the anti-CD138 antibody on immunohistochemistry (C).

 

 


 

DISCUSSION

 

 

Advanced extramedullary multiple myeloma is not a rare occurrence . In autopsy studies 65 to 71% of patients have extramedullary localisation 1-2.

Nevertheless the testis is a rare site of localisation for multiple myeloma. We found only 39 cases of testicular or epididymal plasmacytoma published in the English literature. Hayes et al found one case of testicular localisation of multiple myeloma in 38 cases at autopsy. They also reviewed 182 cases of extramedullary multiple myeloma and found 5 cases of testicular localisation 3.  Gordon et al reported two cases 4, whereas Pasmentier et al reported no case in their series of 57 autopsies 5.  Levin et  al reviewed 6000 cases of testicular tumors at the Armed Forces Pathology Institute and they found only seven cases of myeloma (approximatively 0.1%) which clearly shows that myeloma is a rare cause of testicular mass 6. The diagnosis of myeloma testicular localisation is histological. In the case of solitary testicular plasmocytoma, the treatment is based on only orchidectomy with no risk of recurrence in the  short term 7-8. For the case where the testicular localisation is an element of the diffuse disease, combined standard chemotherapy for multiple myeloma and radiotherapy is currently the main treatment strategy. However, with this approach, the prognosis is generally poor as per a review of 34 such cases by Anghel et al 9. Unlike other cases of testicular plasmacytoma reported in the literature, our case did not present with any other extramedullary involvement except for the testicular localisation but still the disease progressed rapidly despite orchidectomy and chemotherapy. Bortezomib-based combination chemotherapy, where available, might produce a rapid response in these patients 10.  In the case where the patient presents at an advanced stage with intense pain as was our case, radiotherapy is a good palliative option which can secure local control.

 

 


REFERENCES

 

 

  1. Andaloro VA Jr, Babott D. Testicular involvement in plasma cell leukemia. Urology 1974;3:636–638.

 

  1. Avitable AM, Gansler TS, Tomaszewski JE, Hanno P, Goldwein MI. Testicular plasmacytoma. Urology 1980;34:51–54.

 

  1. Hayes DW, Bennett WA, Heck FJ. Extramedullary lesion in multiple myeloma: Review of literature and pathologic studies. Arch Pathol 1952;53:262–272.

 

  1. Gordon AJ, Churg JC. Visceral Involvement in Multiple myeloma. N Y State J Med 1949;49:282–283.

 

  1. Pasmantier MW, Azar HA. Extraskeletal spread in multiple plasma cell myeloma. Cancer 1969;23:167–174.

 

  1. Levin HS, Mastofi FK: Symptomatic plasmacytoma of the testis. Cancer 1970;25:1193-1203.

 

  1. Steinberg D. Plasmacytoma of the Testis. Cancer 1975;36:1470–1472

 

  1. Cavanna L, Fornari F, Civardi G, et al. Extramedullary plasmacytoma of the testicle: Sonographic appearance and ultrasonically guided biopsy. Blut 1990;60:328–330

 

  1. Anghel G, Petti N, Remotti D, et al. Testicular plasmacytoma: Report of a case and review of the literature. Am J Hematol. 2002;71:98-104.

 

  1. Hwang YY, Chim CS. Multiple Myeloma With Testicular Involvement. J Clin Oncol. 2008;26(9):1558-1559.
میز اداری صندلی مدیریتی صندلی اداری تبلیغات کلیکی میز تلویزیون پاراگلایدر آگهی رایگان محسن چاوشی مسیح و آرش آهنگ جدید دانلود آهنگ جدید خرید اینترنتی عکس بازیگران اطفار عکس بازیگران